Bu ölkədə bir gündə 71 nəfər meymunçiçəyinə yoluxdu
31 may 2022 00:05 (UTC +04:00)

Bu ölkədə bir gündə 71 nəfər meymunçiçəyinə yoluxdu

0

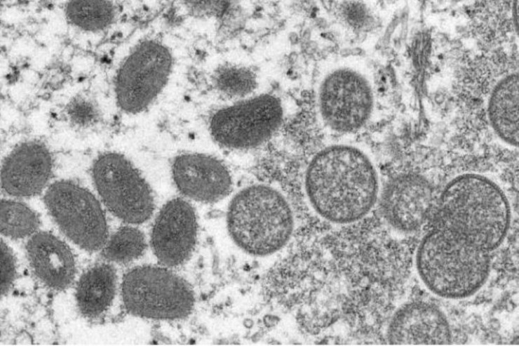
Böyük Britaniyada meymunçiçəyinə sutka ərzində 71 nəfər yoluxub. Bununla da yoluxanların ümumi sayı 179-a çatıb.

Lent.az-ın xəbərinə görə, bu barədə Birləşmiş Krallığın səhiyyə xidməti məlumat yayıb. Qurum bununla yanaşı kütləvi yoluxma ehtimalının cüzi olduğunu bildirib.

Qeyd edək ki, Ümumünya Səhiyyə Təşkilatı da meymunçiçəyi virusu ilə bağlı yeni məlumat açıqlayıb.  Bildirilir ki, indiyədək 23 ölkədə 300-dən çox adam bu xəstəliyə yoluxub.  120 nəfər yoluxma şübhəsi ilə nəzarətə götürülüb. 

1 2 3 4 5 İDMAN XƏBƏRLƏRİ
0
# 1514

Oxşar yazılar